『変形性膝関節症の痛みの原因』
『変形性膝関節症の痛みの原因』
こんにちは!藤井寺市土師ノ里駅徒歩3分なごむ整体院です。
最近なごむ整体院には膝が痛い。病院で変形性膝関節症と診断された。
どうしたら良いですか?と相談を受けました。
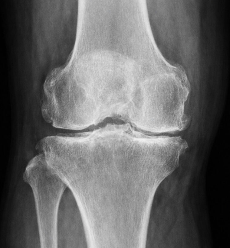
病院のレントゲンで変形性膝関節症は、
①関節のすき間が狭くなる
→ 軟骨がすり減っているサイン
②骨のトゲ(骨棘)ができる
→ 関節の変形が進んでいる状態
③骨が白く硬く見える(骨硬化)
→ 負担がかかり続けた結果
レントゲンでは軟骨自体は写りませんが、「骨と骨の間のすき間」 で軟骨の減り具合を判断します
また、関節の隙間の狭小化や骨の変形が確認できれば、変形性膝関節症の診断の大きな手がかりになります。
実は変形性膝関節症の初期は変化がわかりにくいです。
進行するとO脚変形や明らかなすき間の減少が見られるようになり ます。
変形する前に膝に負担をかけないような姿勢や歪みを改善することが大切です。
膝痛・変形性膝関節症の治療はなごむ整体院にお任せください。
ブログカテゴリー
- BSスパンゲ
- O脚
- ぎっくり腰
- こむら返り
- しびれ
- むくみ
- めまい
- ゆがみ
- イップス
- コルセット
- ストレッチ
- タッチフォーヘルス
- ダイエット
- パワーナップ
- 一本下駄
- 不眠症
- 体調管理
- 健康コラム
- 免疫力
- 冷え性
- 反り腰
- 口臭
- 呼吸整体
- 坐骨神経痛
- 変形性膝関節症
- 姿勢改善
- 子供整体
- 巻き爪
- 巻き肩
- 慢性疲労症候群
- 慢性痛
- 更年期障害
- 歩行
- 歩行改善
- 熱中症
- 猫背
- 産後の不調
- 産後の骨盤矯正
- 疲労
- 痛み
- 痛み止め
- 睡眠障害
- 肌トラブル
- 股関節痛
- 肩こり
- 胸郭出口症候群
- 脊柱管狭窄症
- 腰椎ヘルニア
- 腰痛
- 膝痛
- 自律神経
- 自然治癒力
- 花粉症
- 起立性調整障害
- 足のつり
- 足首の不調
- 身体の悩み
- 逆流性食道炎
- 運動
- 運動神経
- 過敏性腸症候群
- 関節痛
- 院からのお知らせ
- 靴選び
- 頭痛
- 首こり



